بنية الاغشية الخلوية المتدخلة في نقل الماء و الاملاح المعدنية
1- بنية الجدار الهيكلي:
يتشكل الجدار الهيكلي من من طبقتین من السیلیلوز تتوسطھا صفیحة متوسطة مكونة من البكتین وھي مركبات سكریة.- یشكل البكتین سمنت بیخلوي، أما السیلیلوز فیتكون من ألیاف تضم عدة جزیئات من الكلیكوز تتجمع فیما بینھا لتشكل
لیفا سیلیلوزيا لذلك نسمي الجدار الھیكلي بالغشاء البكتوسیلیلوزي
- تصل بین سیتوبلازمات الخلایا المتجاورة والتي تتخلل الجدار الهيكلي ثقوب تسمى بلاسمودیسماتتسمح بانتقال الماء والأملاح المعدنیة.
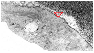
2- بنية وفوق بنية الغشاء السيتوبلازمي:
أ- البنية.
نقصد بالبنية شكل الترابط الفضائي بين مكونات جسم معين والتي نستعين فيها بالمجهر الضوئي.
باستعمال المجهر الضوئي، يظهر الغشاء السيتوبلازمي عبارة عن خط سميك يحيط بالخلية،ويفصل بين الخلايا المتصلة فيما بينها.

ب- فوق البنية.
نقصد بفوق البنية الدراسة المعتمدة عل المجهر الالكتروني والتي تمكن من التعرف الدقيق على شكل الترابط الفضائي بين مكونات جسم أو مادة معينة وكذلك بعض التفاصيل التي لا يمكن ملاحظها باستعمال المجهر الضوئي بالنظر لقيمة تكبيره الضعيفة.
يظهر الغشاء السيتوبلازمي بالمجهر الالكتروني عبارة عن شريطين داكنين يتوسطهما شريط فاتح.
ج- التركيب الكيميائي.
بين التحليل الكيميائي للغشاء السيتوبلاسمي أنه مكون من:
a ـ ذهنيات: و تمثل حوالي 40% من وزن الغشاء وتشمل فوسفوذهنيات 50-60% والكوليسترول 17-23% وكليكوذهنيات 7-8% وتملك الفوسفوذهيات قطبا محبا للماء واخرا كارها للماء مما يجعلها تنتظم على شكل طبقتين تبقى خلالها الاقطاب الكارهة للماء داخل الغشاء والاقطاب المحبة للماء نحو السيتوبلاسم والوسط الخارجي للخلية.
b- بروتينات:و تمثل حوالي 60% من وزن الغشاء وتنقسم الى قسمين بروتينات مدمجة داخل الغشاء وبروتينات سطحية في اتجاه الوسط الداخلي او الخارجي للخلية.
c– سكريات: وتمثل 2-10% وقد ترتبط بالذهنيات مشكلة كليكوذهنيات او بالبروتينات لتشكل كليكوبروتينات.

b- بروتينات:و تمثل حوالي 60% من وزن الغشاء وتنقسم الى قسمين بروتينات مدمجة داخل الغشاء وبروتينات سطحية في اتجاه الوسط الداخلي او الخارجي للخلية.
c– سكريات: وتمثل 2-10% وقد ترتبط بالذهنيات مشكلة كليكوذهنيات او بالبروتينات لتشكل كليكوبروتينات.
د- نموذج تفسيري لبنية الغشاء السيتوبلازمي.
انطلاقا من تحديد مكونات الغشاء السيتوبلازمي وخصائص كل من الفوسفوذهنيات والبروتينات، تم اقتراح عدة نماذج تفسيرية لبنية الغشاء السيتوبلازمي، لكن تم اعتماد نموذج Nicolson و Singer الذي يمكن من فهم تبادلات الماء والأملاح المعدنية بين الوسطين الداخلي والخارجي.
حسب هذا النموذج أيضا فإن مكونات الغشاء السيتوبلازمي ليست ثابتة بل تتنقل باستمرار على طول الغشاء السيتوبلازمي للخلية ونسميه بالتالي نموذج الفسيفساء المتنقلة أو الفسيفساء السائلة.

حسب هذا النموذج أيضا فإن مكونات الغشاء السيتوبلازمي ليست ثابتة بل تتنقل باستمرار على طول الغشاء السيتوبلازمي للخلية ونسميه بالتالي نموذج الفسيفساء المتنقلة أو الفسيفساء السائلة.
دور زغب الامتصاص في امتصاص الماء والأملاح المعدنية.
1 ـ بنية زغب الامتصاص.
يمثل زغب الامتصاص امتداداسيتوبلاسميا لخلايا الطيقة الخارجية للجذر، المسماة السافة الزغبية، تزيد هذه الامتدادات من مساحة التماس بين الجذر والتربة، وهي زيادة تمكن من امتصاص أكبر واسرع للماء والمواد المذابة فيه. 

2ـ آليات امتصاص الماء والأملاح المعدنية.
أ ـ اليات امتصاص الماء:
تضم فجوة زغب الامتصاص عصارة مفرطة التوتر بالنسبة
للوسط الخارجي المتمثل في ماء التربة. ویبین الشكل جانبه نتائج قیاس الضغط التنافذي في مختلف الخلایا المكونة للجذر على مستوى المنطقة المشعرة.
حسب قانون التنافذ فان الماء يتدفق من الوسط ناقص التوتر الى الوسط مفرط التوتر اي من زغب الامتصاص الى حدود الادمة الباطنية حيث ينخفص الضغط التنافذي ويتدخل النقل النشيط.
للوسط الخارجي المتمثل في ماء التربة. ویبین الشكل جانبه نتائج قیاس الضغط التنافذي في مختلف الخلایا المكونة للجذر على مستوى المنطقة المشعرة.

حسب قانون التنافذ فان الماء يتدفق من الوسط ناقص التوتر الى الوسط مفرط التوتر اي من زغب الامتصاص الى حدود الادمة الباطنية حيث ينخفص الضغط التنافذي ويتدخل النقل النشيط.
ب ـ اليات امتصاص الاملاح المعدنية:
بما ان الاملاح المعدنية تنتقل من زغب الامتصاص الى حدود الادمة الباطنية اي من وسط ناقص التوتر الى وسط مفرط التوتر فذلك يتم عن طريق النقل النشيط بعد ذلك ينخفص الضغط التنافذي ويتدخل النقل السلبي(الانتشار الحر او المسهل).

بنية الاغشية الخلوية المتدخلة في نقل الماء و الاملاح المعدنية
Reviewed by دراسة للجميع
on
فبراير 17, 2019
Rating:

ليست هناك تعليقات: